Zähne sollten ein Leben lang halten – doch immer häufiger tun sie es nicht. Was früher vor allem alte Menschen betraf, sehen wir heute schon bei Menschen in den Dreißigern – mit steigender Tendenz: abgeflachte Kauflächen, spröde, gebrochene Schneidezähne, empfindliche Zahnhälse. Zahnverschleiß – in der Fachsprache „Tooth Wear“ – ist auf dem Vormarsch und entwickelt sich still zur neuen Volkskrankheit.
Die Ursachen liegen selten nur im Mund: Dauerstress, Anspannung und Leistungsdruck führen dazu, dass viele Menschen nachts mit den Zähnen pressen oder knirschen, bis die Substanz schwindet. Dieser Beitrag stellt die Gründe vor – und wie das Team von Hightech Zahnästhetik Dr. Römer in Amerdingen ein ganzheitliches Konzept entwickelt hat, das Zähne schützt, Ästhetik erhält und Ursachen auflöst.
Viele Menschen verarbeiten Stress im Schlaf. Zähnepressen oder Zähneknirschen (Bruxismus) ist eine unbewusste Reaktion auf Überlastung. Die aktuelle S3-Leitlinie der Deutschen Gesellschaft für Zahn-, Mund- und Kieferheilkunde betont: Bruxismus lässt sich nicht heilen, aber seine Folgen lassen sich begrenzen. Eine Schiene schützt die Zähne, behebt jedoch nicht die Ursache – die liegt in der Stressverarbeitung.
Präzise Analyse als Basis für sichere Planung
Am Anfang steht eine strukturierte Diagnostik: Fotodokumentation, digitale Scans und Funktionsanalyse zeigen, wie stark die Zähne bereits abgenutzt sind. Bewertet wird dies nach standardisierten Systemen wie der Tooth Wear Evaluation 2.0.
Die AWMF-Leitlinie Okklusionsschienen 2024 unterstreicht: Schienen sind Teil eines Gesamtkonzepts, aber keine Dauerlösung. Entscheidend ist, frühzeitig gegenzusteuern – funktionell, ästhetisch und stressreduzierend.
Individuell, digital und wissenschaftlich fundiert
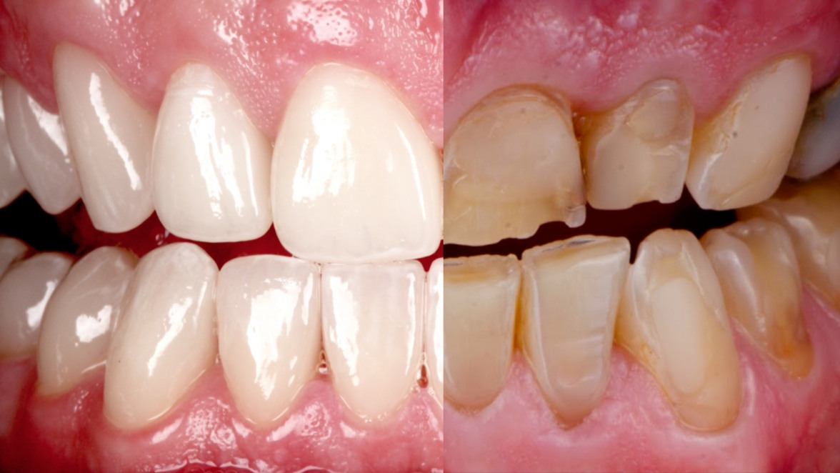
Leicht bis moderat: Dentaling® Für Patienten mit beginnendem Zahnverschleiß hat Dr. Bianca Römer das geschützte Behandlungskonzept Dentaling® entwickelt. Es kombiniert Funktion, Ästhetik und Schutz in einem Schritt – minimalinvasiv und meist ohne Beschleifen der natürlichen Zahnflächen. Die Zähne werden dabei nicht nur in Form und Proportion rekonstruiert, sondern in der Regel auch sanft aufgehellt, um wieder einen natürlich frischen Ausdruck zu erhalten.
Durch speziell versiegelte Oberflächen entsteht ein sogenannter Lotuseffekt, der den Zahnschmelz stärkt, Empfindlichkeiten reduziert und die Langlebigkeit der Ergebnisse sichert. Ergänzend schützen individuell angepasste Nightguards die Zähne vor nächtlicher Belastung.
Da das eigentliche Problem im Kopf beginnt und sich erst sekundär an den Zähnen zeigt, fließen auch entspannungsfördernde Elemente aus dem Hypnosystem mit ein – für nachhaltigen Schutz von innen und außen.
Fortgeschritten: digitale Bisshebung mit Keramik
Bei stärkerem Substanzverlust wird die Bisshöhe digital geplant und mit hochpräziser Keramik wiederhergestellt. Das Verfahren folgt modernen prothetischen Prinzipien – planbar und langlebig. Bei Hightech Zahnästhetik Dr. Römer werden dabei sämtlihe Arbeitsschritte digital koordiniert, um Leitlinientreue und effiziente Abläufe zu verbinden.
Regeneration und Stressbalance
Da Zahnverschleiß eng mit Anspannung verknüpft ist, setzt die Praxis zusätzlich auf das eigens entwickelte Hypnosystem. Es basiert seit 2011 auf medizinischer Hypnotherapie und dient der Regeneration – nicht als Psychotherapie, sondern als Methode, Stressmuster zu regulieren und den Schlaf zu verbessern. Ziel ist innere Ruhe, die sich auch im Gebiss widerspiegelt.
Zeitökonomische Hightech-Behandlungen mit Herz
Viele Patienten reisen aus dem gesamten DACH-Raum nach Amerdingen. Grund ist die Spezialisierung auf kompakte privatzahnärztliche Behandlungskonzepte mit digitalem Workflow. Dank innovativer Technologien können ästhetisch-funktionelle Rekonstruktionen oft innerhalb weniger gebündelter Termine, teils sogar an einem Tag, umgesetzt werden – zeitsparend, leitliniengerecht und wunderschön.
Fazit
Zahnverschleiß ist kein Schönheitsproblem, sondern ein klares Warnsignal. Wer früh handelt, kann mit Konzepten wie Dentaling®, Bisshebung und dem Hypnosystem dauerhaft gesunde, belastbare und ästhetische Zähne bewahren.
Ein strukturiertes Anamnesegespräch mit Dr. Bianca Römer bietet die Grundlage für eine individuelle Planung – wissenschaftlich fundiert, effizient und auf echte Langlebigkeit ausgelegt. Bianca Römer

Dr. Bianca Römer ist Zahnärztin und verbindet in ihrer Praxis seit 2011 traditionelle Werte mit modernster Hightech Medizin. Besonders die metallfreie Prothetik und der Zahnerhalt unter ästhetischen Gesichtspunkten gehört zu ihren Spezialgebieten. Durch zahlreiche internationale Spezialisierungen und kontinuierliche Investitionen bleibt ihre Praxis stets auf dem neuesten Stand.
Terminanfrage & Zahnrechner - für eine schnelle Ersteinschätzung: www.dr-roemer.de
Kontakt

Hightech Zahnästhetik DR. RÖMER
Wunderbar. Wundervoll. Wunderschön.
Am Sonderbach 19
86735 AMERDINGEN
Tel.: 09089 600
www.dr-roemer.de